治療例
審美治療例
歯周病治療症例
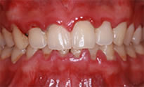
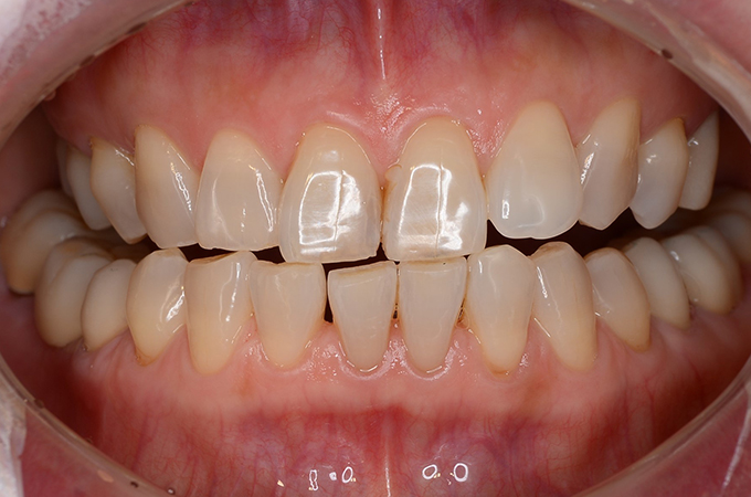
case1:20代 男性
主訴
痛くて歯磨きができない
診断
重度歯肉炎
来院の経緯
21歳の大学生。当院に来院されている父親からのご紹介で来院。初診時、歯肉の腫れが強く、出血も全体に見られ口臭もあった。
case4:40代 女性
主訴
全顎的な歯牙の動揺
診断
重度歯周炎
来院の経緯
20年前に歯周治療を勧められたが積極的な治療は受けずに徐々に歯の揺れが進行。今回は徹底した治療を受けたいと来院。
case5:50代 男性
主訴
しっかり咬めない
診断
重度歯周炎
来院の経緯
しっかりと咬めない。冷たいものがしみる症状。左下奥歯に大きなむし歯。前の歯が抜けてそのままだったため、前方に傾斜。
case6:60代 女性
主訴
義歯が合わない・咬めない
診断
重度歯周炎・むし歯
来院の経緯
60代女性。義歯が合わず、しっかりと咬めない。また上顎の前歯部が動揺。しっかりと咬めるようになりたいとのことで来院。
