重度歯周炎 – 40代女性
初診
患者さんは40代の女性です。
上顎前歯に動揺がみられ、初診時にはレジンによる連結が図られていました。上顎、下顎左側の欠損は来院される3ヶ月前に抜歯された状態です。当院に来院される2~3ヶ月前に歯周病で抜歯され、将来どんどんと歯が抜けていく恐怖感から来院されました。
今回は将来安心して咬めるようになりたいとの思いが強く、しっかりとした治療を希望されていました。

治療計画
上下全体に歯周治療、根管治療、矯正治療、補綴治療が必要で、上顎左側にはインプラント治療を計画しました。

矯正治療
上顎の前歯が出ているため、口唇が閉じにくい状態でした。矯正治療により前歯を中へ移動させて口唇閉鎖を容易にし、清掃性、審美性の向上を図りました。


矯正開始


矯正開始後6ヶ月


歯周治療
歯周組織の問題を解決するために歯周外科処置を行いました。

歯周外科処置

歯冠長の調整と下顎矯正治療開始
歯周外科処置後に補綴装置の仮歯の長さ調整を要します。
切端の位置及び歯冠長の調整

下顎矯正治療

矯正治療終了後、補綴装置の仮歯を調整
上下の矯正治療が終了し、仮歯の形態を調整します。この段階では左上の奥歯のインプラントの治癒を待っている状態です。


最終補綴物の完成
治療期間は4年にわたりましたが、キャンセルもなく、患者さんのがんばりで良好な結果が得られました。


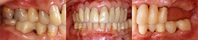
初診時と最終補綴完成の比較
初診時

最終補綴物完成

3年、9年経過後
9年経過後も良好な状態が維持されています。
3年後

9年後

来院時年代・性別 | 40代 女性 |
---|---|
主訴 | 歯牙の動揺 |
診断 | 重度歯周炎 |
来院の経緯 | 当院に来院される2~3ヶ月前に歯周病が原因で抜歯され、将来どんどんと歯が抜けていく恐怖感から来院されました。 |
治療内容 | 歯周治療、根管治療、矯正治療、補綴治療、インプラント治療 |
治療期間 | 4年 |
治療費 | 9,020,000円(税込) |
主なリスクや副作用 | 脱離 かみ合わせの変化 |
治療費や治療期間は人によって異なります。患者さんの状態や希望に合わせて治療内容は変わります。例えば、インプラントなのか義歯なのか、補綴は最上級のものかリーズナブルなものか、早く治療を完了させたいのかそうでないかなどです。
私たちは「治療結果が『長持ちする』こと」を大切にしています。それを実現する方法は様々ありますので、是非ご相談ください。
一般的な治療費はこちらをご覧ください。治療費のページへ。