重度歯周炎 – 40代女性
初診
仕事が忙しく、約20年前に歯周治療を勧められましたが積極的な治療は受けずに徐々に歯の揺れが進行してきました。患者さんの治療に対する希望はできるだけ自分の歯を保存してほしい、今回は徹底した治療を受けたいとのことでした。
治療計画
初診時のパノラマレントゲン写真です。
特に上顎右側から前歯部にかけて重度の歯槽骨の吸収が見られます。
左上の奥歯は一部欠損しており、前歯から右上奥歯にかけて歯の揺れが大きい状態でした。
上顎は右側、前歯部と重度の骨吸収があり、根の先近くまで骨吸収している歯は抜歯が必要です。
上顎は再生療法、矯正治療を併用し、最終的にはブリッジで固定式の補綴物を装着することを治療ゴールとしました。また下顎は両則とも一番奥歯は歯周病の進行と歯の破折のために抜歯し、右下には1本インプラント修復を予定しました。
初期治療と並行して上顎前歯を仮歯へ置き換え
まず初期治療と並行して上顎前歯を仮歯に置き換えました。単なる仮歯でなく、見た目や機能も兼ね備えた仮歯を作製します。
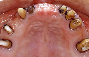
初診時
仮歯装着時
咬み合わせの調整
上顎は8本を土台にしたブリッジの予定です。右上の犬歯の歯槽骨の再生療法の治癒期間の間に咬み合わせの調整を仮歯で行います。
再生後の矯正治療
再生療法後の治癒期間中に歯の位置を改善するために矯正治療を行いました。
この際にできるだけ患者さんの日常に不便がないよう、見た目と機能を維持して矯正治療を開始しました。
矯正治療後の仮歯と上顎の歯の状態です。
再評価
全体の状態です。
歯牙周囲にしっかりとした歯肉を獲得するために歯周外科処置を行いました
最終的な上顎の土台の歯の状態と補綴物です。
矯正治療により支台歯の方向を調整します。
最終補綴物装着
最終補綴物装着時です。咬み合わせも安定した状態です。
治療前は歯がグラグラして咬めませんでしたが、治療後はしっかりと咬めるようになりました。
| 来院時年代・性別 | 40代 女性 |
|---|---|
| 主訴 | 全顎的な歯牙の動揺 |
| 診断 | 重度歯周炎 |
| 来院の経緯 | 20年前に歯周治療を勧められたが積極的な治療は受けずに徐々に歯の揺れが進行。今回は徹底した治療を受けたいと来院。 |
| 治療内容 | 再生療法、歯周治療、矯正治療、補綴治療、インプラント治療 |
| 治療期間 | 2年6ヶ月 |
| 治療費 | 5,390,000円(税込) |
| 主なリスクや副作用 | かみ合わせの変化 |
治療費や治療期間は人によって異なります。患者さんの状態や希望に合わせて治療内容は変わります。例えば、インプラントなのか義歯なのか、補綴は最上級のものかリーズナブルなものか、早く治療を完了させたいのかそうでないかなどです。
私たちは「治療結果が『長持ちする』こと」を大切にしています。それを実現する方法は様々ありますので、是非ご相談ください。
一般的な治療費はこちらをご覧ください。治療費のページへ。
