重度歯周炎 – 50代女性
初診
歯がグラグラ揺れることを主訴に来院されました。40歳くらいの時に矯正治療を行い、その後咬み合わせが安定せず歯が揺れ始めました。歯が悪い自覚はありますが、どうしても義歯はしたくないとのことでした。
初診時パノラマレントゲン
初診時のパノラマレントゲンです。特に上顎は全ての歯の周囲の骨が吸収し、抜歯を余儀なくされる状態でした。
プロービング値も深く、上顎だけでなく下顎も部分的に歯周病が進行していました。
歯周病を悪化させる細菌6種類がポケット内にどのくらい存在するかを調べました。その結果、歯周病を悪化させる細菌が特異的に増大していることがわかりました。
再評価・治療計画
まず歯肉縁上、縁下の歯石・プラークの除去と同時に抗生剤により細菌除去を行った初期治療後の状態です。
歯肉の腫れや赤みがかなり改善されると同時に患者さんの治療に対するモティベーションが飛躍的に増大し、上顎は抜歯を行いますが、インプラントによる固定式のブリッジで下顎は可能な限り歯を保存し、ご自身の天然歯と欠損部のインプラントの共存により機能、審美の改善を図ることとしました。
上顎右側臼歯部の抜歯
上顎前歯部の調整
抜歯と仮歯の装着
右上の抜歯後、治癒を待って前歯の抜歯と同時に仮歯を装着しました。

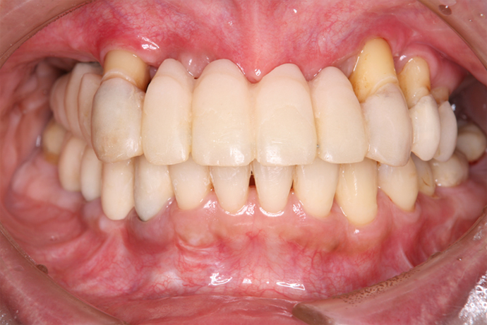
術前と仮歯装着後です。ただ単なる仮歯でなく、見た目、機能も兼ね備えた仮歯を装着することで日常生活に可能な限り負担をかけないように配慮しています。
初診時
仮歯装着時
下顎右側臼歯部の抜歯
上顎前歯部の骨増大
右側上下を抜歯した状態のため、左側で咬んでもらいながら、上顎前歯部の骨の増大を図りました。将来はインプラントによる修復を予定しているので、かなりの骨増大が必要となりました。
また右上奥歯は骨の厚み、幅が少ないために上顎洞底挙上術と同時に厚みを増やすための骨増大を図りました。
さらに前歯部は段階的に垂直的な骨増大を図りました。
上顎前歯の骨の高さは改善しましたが、幅が少ないためにチタンメッシュを利用して骨幅を増大させました。
下顎右側臼歯部のインプラント治療
抜歯後の治癒を待ってインプラント埋入前の状態です。骨幅が不足していることがわかります。
インプラント埋入と同時に骨移植材を用いた骨増大を図りました。

治癒を待って、2次オペ(頭出し処置)を実施しました。また、インプラント周囲にもブラッシングを行いやすくするために歯肉の強化(FGG:遊離歯肉移植術)を行いました。
下顎左側臼歯部のFGG(遊離歯肉移植術)
右下奥歯のインプラントの治癒期間の間に左下の歯肉の強化のためのFGG(遊離歯肉移植術)を実施しました。
また、左下犬歯周囲に深い骨欠損が存在したため、再生療法により骨増大を図りました。
| 治療の内容 | 歯周外科処置(歯肉の強化・厚みの増大) |
|---|---|
| リスク・副作用 | 術後の腫れ、痛み、出血 |
| 治療期間の目安 | 治癒まで3〜4ヶ月 |
| 治療回数の目安 | 1回 |
| 治療費総額の目安 | 100,000円〜300,000円 対象の本数により異なる |
上顎右側臼歯部のインプラント治療
右上の上顎洞底挙上術(サイナスリフト)と骨増大後にインプラントを埋入しました。不足している骨をさらに同時に骨増大を行いました。
治癒を待って2次オペ(頭出し)を実施しました。骨量が増大していることがわかります。
同時にインプラント周囲の歯肉を強化しました。
下顎前歯部の矯正開始
右上と前歯部の治癒期間の間、下顎前歯部の矯正治療を開始しました。
上顎左側臼歯部の抜歯
右側で咬めるようになったため、左上を抜歯しました。
現在の状況:仮歯のセット
| 来院時年代・性別 | 50代 女性 |
|---|---|
| 主訴 | 歯が揺れる |
| 診断 | 重度歯周炎 |
| 来院の経緯 | 40歳くらいのときに矯正治療を行い、その後咬み合わせが安定せず歯が揺れ始めた。どうしても義歯はしたくないと来院。 |
| 治療内容 | 歯周治療、矯正治療、補綴治療、抜歯、インプラント治療 |
| 治療期間 | 3年6ヶ月 |
| 治療費 | 11,220,000円(税込) |
治療費や治療期間は人によって異なります。患者さんの状態や希望に合わせて治療内容は変わります。例えば、インプラントなのか義歯なのか、補綴は最上級のものかリーズナブルなものか、早く治療を完了させたいのかそうでないかなどです。
私たちは「治療結果が『長持ちする』こと」を大切にしています。それを実現する方法は様々ありますので、是非ご相談ください。
一般的な治療費はこちらをご覧ください。治療費のページへ。
