不正咬合 – 20代男性
初診
矯正治療を希望し、紹介されて来院されました。
他院にて、「4歯の抜歯をした上、2年ほどの矯正治療が必要」と説明を受けたそうです。
短期間で確実に治療を行いたいということで、紹介され来院されました。
当院では、智歯(おやしらず)のみを抜歯して矯正治療を行うことになりました。
矯正治療に歯周外科処置を併用することで、矯正装置を装着する期間をできる限り短期間にする矯正法(PAOO)を選択しました。
初診時のレントゲン写真です。
治療開始
初診より1ヶ月後に、矯正装置とバンドを装着し、さらにその1ヶ月後(初診より2ヶ月後)
PAOO(歯周外科処置)を実施しました。
手術は、麻酔科ドクターによる静脈内鎮静法でリラックスした状況下で行いました。
常にモニターで心拍、血圧、その他の体の変化を確認しながら進めていきます。
術前写真
PAOO(歯周外科処置)術中写真:上顎
歯ぐきを切開した後、歯を支える骨が厚くあるため、骨の表面に小さく傷をつけて活性化させます。
PAOO(歯周外科処置)術中写真:下顎
奥歯の骨の表面に小さく傷をつけて活性化させます。その上に骨の形成を促進させるため骨移植材を置きます。
下の智歯(おやしらず)は左右とも、術中に抜歯しました。
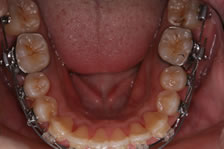
ブラケットを装着して1ヶ月後(初診より2ヶ月後)
PAOO(歯周外科処置)術後の写真
ブラケットを装着して5ヶ月(PAOO:歯周外科処置を行って4ヶ月)
ほぼ左右の歯並びがそろってきました。一度ブラケットをはずして新しく付け直しました。細かな調整を行います。
ブラケットを装着して10ヶ月(PAOO:歯周外科処置を行って9ヶ月)
細かな歯の並びの修正と上顎の智歯(おやしらず)の抜歯を行いました。
ブラケットを装着して12ヶ月(初診から13ヶ月、PAOO:歯周外科処置 を行って11ヶ月)
矯正装置除去しました。
移動の後戻りがないように、リテーナーと呼ばれる装置を装着して、治療は終了です。
| 来院時年代・性別 | 20代 男性 |
|---|---|
| 主訴 | 短期間で確実に治療を行いたいということ |
| 診断 | 不正咬合 |
| 来院の経緯 | 矯正治療を希望し、紹介され来院。他院にて4歯の抜歯をし、矯正治療を2年ほどの治療期間が必要と説明を受けた。短期間で確実に治療を行いたいということで、紹介され来院。 |
| 治療内容 | 矯正治療、PAOO(歯周外科処置) |
| 治療期間 | 13ヶ月 |
| 治療費 | 1,760,000円(税込) |
治療費や治療期間は人によって異なります。患者さんの状態や希望に合わせて治療内容は変わります。例えば、インプラントなのか義歯なのか、補綴は最上級のものかリーズナブルなものか、早く治療を完了させたいのかそうでないかなどです。
私たちは「治療結果が『長持ちする』こと」を大切にしています。それを実現する方法は様々ありますので、是非ご相談ください。
一般的な治療費はこちらをご覧ください。治療費のページへ。
